
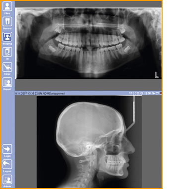
Planmeca propose une gamme exceptionnelle d'équipements ProMax 3D pour toute l'imagerie maxillo-faciale. Le Planmeca ProMax 3D Max répond à toutes les demandes d'examens grâce à ses différents volumes. Quelle que soit la grandeur de la zone à explorer, d'un groupe de dents jusqu'au crâne complet, l'image obtenue fournira des informations très complètes de l'anatomie du patient dans les moindres détails. Planmeca ProMax 3D Max, l'appareil à rayons X CBTV dédié, offre un champ de vue maximal de diamètre 23 x 26 cm particulièrement recommandé pour l'étude et de diagnostic du crâne complet. Vos images en 3D!

Télécharger la brochure!
Pour encore plus d'informations sur ce produit, n'hésitez pas à visiter www.planmeca.com
Notre unit Planmeca ProMax® 3D Classic est conçu pour obtenir des informations complètes et détaillées sur l'anatomie du patient. Cet unit à rayons X intelligent à usage multiple permet d'obtenir des radiographies panoramiques numériques, céphalométriques et 3D, ainsi que des photos 3D et des scans de modèles.

Télécharger la brochure!
Pour encore plus d'informations sur ce produit, n'hésitez pas à visiter www.planmeca.com
L'appareil à rayons X révolutionnaire Planmeca ProMax permet un vaste choix de modalités d'imagerie radiographique extra-orale pour répondre aux besoins de la chirurgie dentaire moderne. La plate-forme Planmeca ProMax est unique dans la mesure où elle permet un accès aisé à l'imagerie 3D, cette modalité d'imagerie étant rendue facilement réalisable par une mise à niveau d'un système numérique Planmeca ProMax existant. Sa conception de pointe et ses caractéristiques fonctionnelles donnent à cet appareil une avance considérable par rapport à ses homologues du domaine de la radiologie maxillo-faciale, en lui permettant de réaliser toutes les sortes de clichés nécessaires, avec une qualité supérieure toujours constante. Cet appareil hautement sophistiqué et remarquablement convivial est le résultat de la supériorité technologique de Planmeca, de ses recherches continuelles dans le domaine de la radiologie maxillo-faciale, de ses connaissances acquises et des résultats cliniquement éprouvés au fil des années...

Télécharger la brochure!
Pour encore plus d'informations sur ce produit, n'hésitez pas à visiter www.planmeca.com
Simplicité et beauté. Planmeca a conçu son unité radiologique dentaire, la Planmeca ProOne, entièrement numérique dans un esprit de simplicité sans toutefois faire de compromis par rapport aux technologies de pointe les plus récentes. La Planmeca ProOne allie des dimensions compactes et une facilité d'utilisation à des capacités de diagnostics étendus et à une qualité d'image supérieure. La Planmeca ProOne hérite véritablement des connaissances spécialisées de Planmeca dans son domaine de prédilection qu'est l'imagerie dentaire depuis longtemps…

Télécharger la brochure!
Pour encore plus d'informations sur ce produit, n'hésitez pas à visiter www.planmeca.com
Planmeca est fière de présenter Planmeca ProX, un nouvel appareil à rayons X intraoral. L’appareil Planmeca ProX évolué permet un positionnement précis et rapide et une imagerie optimisée pour une procédure simplifiée et des images haute résolution de grande qualité.

Télécharger la brochure!
Pour encore plus d'informations sur ce produit, n'hésitez pas à visiter www.planmeca.com
Avec le capteur ProSensor, Planmeca établit de nouveaux critères d'exigence en matière d'imagerie dentaire intraorale. En effet, le ProSensor, par sa conception basée sur l'adaptabilité et la longévité, associée à une technologie de pointe, garantit un rythme de travail régulier, efficace et sécuritaire pour tout type de patient, quel que soit le traitement. C'est par la conception ingénieuse de son boîtier, son connecteur magnétique révolutionnaire, son câble robuste et durable, ainsi que les voyants lumineux à LED du boîtier d'interface indiquant « l'état » du système de détection, que le capteur ProSensor peut garantir la réussite de chaque image…

Télécharger la brochure!
Pour encore plus d'informations sur ce produit, n'hésitez pas à visiter www.planmeca.com
Tout au long de sa journée de travail, l'équipe soignante est tenue de se concentrer totalement sur le traitement et le bien-être du patient. Nos units Planmeca Sovereign, Sovereign Classy, Sovereign Family, Sovereign Reach et Sovereign Side créent un environnement de travail flexible et pratique qui offre au praticien et son assistante adaptabilité, ergonomie et simplicité d'emploi. Les positions du fauteuil patient préprogrammées facilitent un rythme de travail régulier. La remarquable conception de Planmeca Sovereign permet des positions de travail ergonomiques et les fonctions de l'unit se commandent aisément via une interface graphique utilisateur intuitive. Lorsqu'il utilise l'unit Planmeca Sovereign, le dentiste peut consacrer toute son attention à l'acte opératoire.

Télécharger la brochure!
Pour encore plus d'informations sur ce produit, n'hésitez pas à visiter www.planmeca.com
Les solutions de conception du Planmeca Compact™ i permettent un travail ergonomique et fluide. Extrêmement simple et intuitif, il facilite votre travail quotidien, et le rend plus agréable et plus efficace, sans faire de compromis. De taille compacte, il comporte cependant de nombreuses fonctions et fonctionnalités. Avec plus de 40 000 utilisateurs satisfaits dans le monde, il est idéal pour les besoins variés des professionnels d’aujourd’hui.

Télécharger la brochure! (Brochure en anglais)
Pour encore plus d'informations sur ce produit, n'hésitez pas à visiter www.planmeca.com
Le Planmeca Compact™ i Classic peut être équipé d’instruments sur bras à fouets ou à cordons pendants. Cet unit de soins dentaires est proposé avec une gamme d’instruments prédéfinie. L’instrumentation de base comporte tous les instruments nécessaires, y compris des micromoteurs électriques intégrés. Tous les réglages des instruments peuvent commodément se faire sur le clavier de l’unit dentaire. L’instrumentation peut également être étendue en ajoutant un détartreur électrique, une lampe à polymériser à LED et une caméra intrabuccale.

Télécharger la brochure!
Pour encore plus d'informations sur ce produit, n'hésitez pas à visiter www.planmeca.com
Le fauteuil Planmeca Chair offre au praticien comme au patient un confort sans précédent. La conception du fauteuil permet de mettre le repose-jambes en position verticale. Ces postures favorisent la communication durant la première consultation. La conception anatomique du fauteuil et son dossier ultra-mince contribuent à créer une position de travail naturelle et développent une ergonomie et un accès à la cavité buccale très poussés.

Télécharger la brochure!
Pour encore plus d'informations sur ce produit, n'hésitez pas à visiter www.planmeca.com
Romexis, le logiciel dédié à la dentisterie de Planmeca, intègre une multitude d'outils permettant de répondre aux besoins, à la fois, de l'imagerie, du suivi de traitement, de la gestion des patients et des unités dentaires. Sa grande convivialité lui permet de s'adapter aussi bien aux cabinets uni-poste qu'aux cabinets de groupes, centres des soins hospitalo-universitaires ou aux grandes structures hospitalières. Planmeca Romexis est compatible avec de multiples modalités d'imagerie afin de mieux gérer les procédures à rayons X, en 3D et photographiques. Toutes les images sont stockées et traitées dans un même système. Planmeca Romexis est cependant bien plus qu'un simple logiciel d'imagerie. En effet, il intègre l'imagerie numérique au sein des logiciels de gestion, il participe aux fonctionnalités des unités dentaires, ainsi qu'à d'autres postes de la clinique. Le logiciel se compose de différents modules que vous êtes libre de choisir pour mieux répondre à vos besoins.

Télécharger la brochure!
Pour encore plus d'informations sur ce produit, n'hésitez pas à visiter www.planmeca.com